首页
专利数据库
产业人才
行业动态
产业政策法规
维权援助
个人中心
登录/注册
详情
文本
图像
标题:
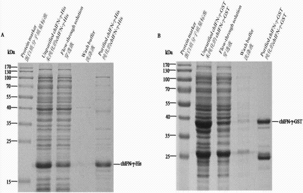
一种检测禽γ‑干扰素含量的方法及其专用试剂盒
授权日:
1900-01-01
公开(公告)号:
CN107286241A
申请日:
2017-07-10
公开(公告)日:
2017-10-24
当前申请(专利权)人:
中国农业大学
发明人:
郑世军 | 柳亚楠 | 王永强 | 李晓齐 | 曹红
简单同族:
CN107286241A
简单同族成员数量:
1
简单同族被引用专利总数:
1
诉讼案件数:
0
法律状态/事件:
实质审查