专利数据库
统计分析
产业报告
专利数据监控
产业人才
行业动态
产业政策法规
维权援助
个人中心
详情
文本
图像
标题
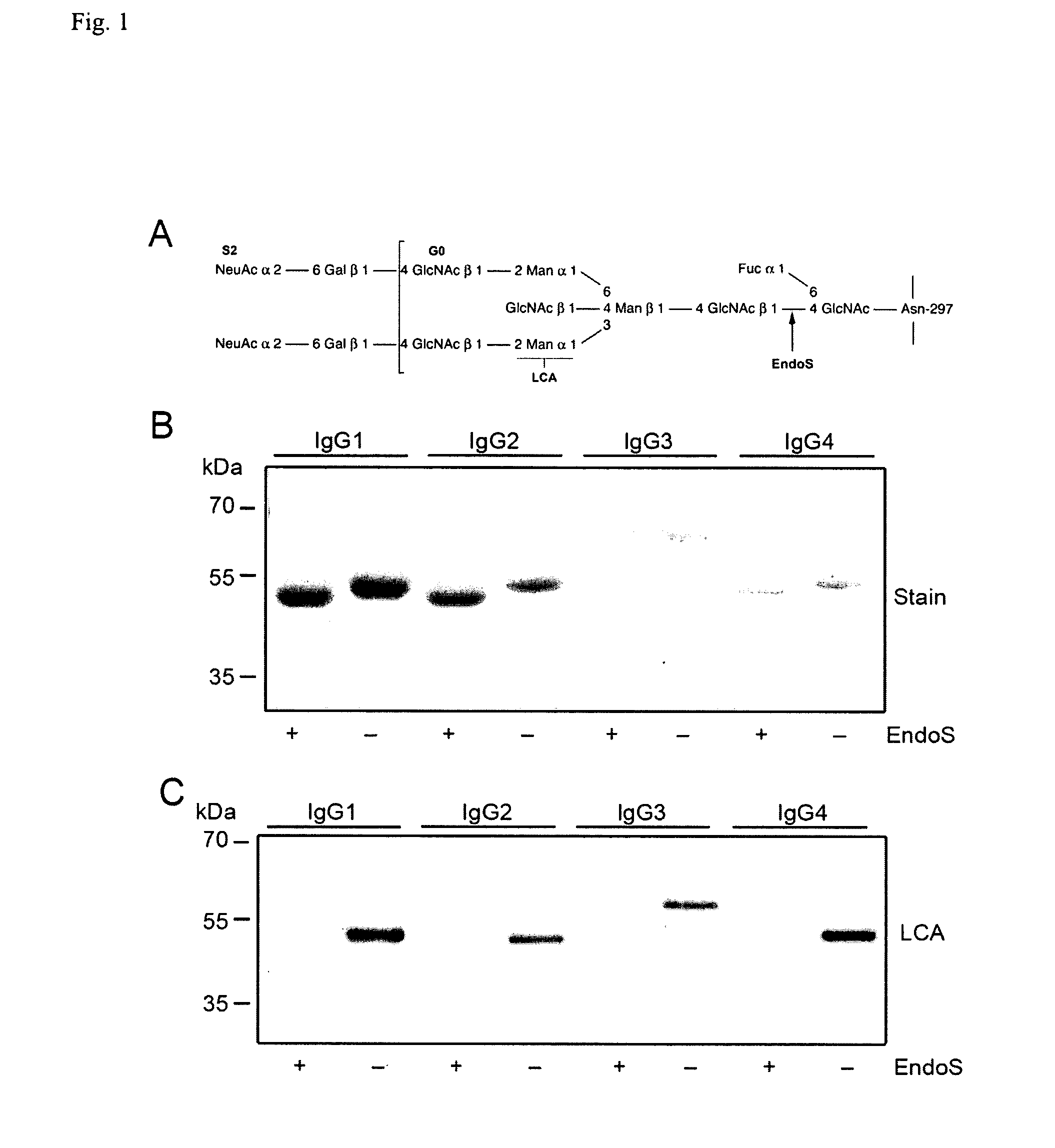
Methods and kits for dissociating fcgamma-receptor-igg complexes and for igg purification and detection
授权日
1900-01-01
公开(公告)号
US20100317083A1
申请日
2008-09-11
公开(公告)日
2010-12-16
当前申请(专利权)人
GENOVIS AB
发明人
ALLHORN, MARIA | OLIN, ANDERS | NIMMERJAHN, FALK | COLLIN, MATTIAS
简单同族
CN101889082A | CN102584989A | CN102584989B | DK2190984T3 | EP2190984A2 | EP2190984B1 | JP2010538623A | JP2010538623A5 | JP5722627B2 | PL2190984T3 | US20100317083A1 | US8323908 | WO2009033670A2 | WO2009033670A3 | WO2009033670A8
简单同族成员数量
15
简单同族被引用专利总数
48
诉讼案件数
0
法律状态/事件
授权 | 权利转移
抱歉,您的浏览器不支持PDF预览,请点击链接下载PDF文件